
Somos un equipo de profesionales, tenemos instalaciones cómodas y precios hechos especialmente para ti.
Conoce más sobre nuestros servicios.
Uso exclusivo de la COFEPRIS: 223300202A1698, 2415052002A00022, 245052002A00023, 245052002A00024
Una experiencia diseñada para ti

La resina dental se utiliza para reemplazar una parte cariada o ausente de la estructura y esta compuesta de materiales restaurativos del mismo color del diente.
Desde: $1,793.38

Promo
Es un tratamiento dental estético que logra reducir algunos tonos devolviendo el color original de los dientes. Este tratamiento se realiza con productos especiales con la ayuda de una lampara blanqueadora que nos ayuda a tener mejores resultados.
$3,867.80

Promo
Es un procedimiento que se hace con el objetivo de retirar ciertas enfermedades de los dientes. No es doloroso y se eliminan manchas y placa dentobacteriana o sarro. A pesar de eliminar manchas ocasionadas por la alimentación o malos hábitos no debe confundirse con el aclaramiento dental, dejando dientes mas blancos y brillantes.
$1,789.82

Promo
Es un procedimiento que implica el retiro de los dientes cuando ya no se pueden recuperar o salvar debido a caries o enfermedad periodontal. se toma en cuanta la situación clínica de cada persona sin necesidad de realizar ningún tipo de procedimiento quirúrgico.
Desde: $1,843.62

Promo
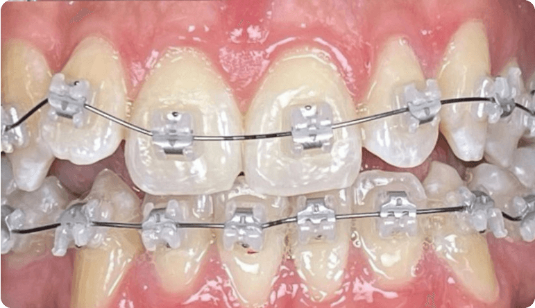
Estudia, corrige y previene las diferentes alteraciones de la posición de los dientes respecto a los maxilares corrigiendo también la forma de las arcadas dentales.
Desde $8,523.00

La ortodoncia estética consiste en utilizar una serie de arcos y braquets como la ortodoncia clásica con la principal diferencia de que se mejore el aspecto del diente resultando prácticamente imperceptible a la vista de los demás. En esta técnica se utilizan brackets de porcelana y zafiro.
Desde $16,823


Es la corrección de la posición de los dientes y maxilares mediante el uso de aparatos removibles con la finalidad de que puedas comer, beber y cuidar tus dientes como lo harías normalmente.
Desde $38,000.00
Agenda tu cita de primera vez y la consulta se descuenta de tu plan. Diseñamos el plan ideal para ti.


Es un tipo de prótesis realizado a base de un material cerámico de alta resistencia, elevada dureza y con un aspecto muy natural. Este material de vanguardia es cada vez mas utilizado en odontología moderna para la elaboración de coronas y coronas sobre implantes.

Es un material de alta resistencia y estético. Se realiza en molares que ya perdieron bastante morfología ofreciendo recuperar su esta y conservando la mayor cantidad de estructura dental cuidando el aspecto natural del diente.

Es un tratamiento para dientes infectados que afecta gravemente el nervio o la pulpa dental. El tratamiento consiste en eliminar todo el tejido pulpar afectado, limpiando y desinfectando el conducto radicular del diente para después rellenar el espacio con un material biocompatible que impida el paso de bacterias. Es importante realizar este procedimiento bajo magnificación con microscopio.

Este tipo de prótesis esta realizada de un material llamado disilicato de litio el cual esta compuesta de cerámica y vidrio el cual es de elevada resistencia y durabilidad. permite adaptar su color a cualquier tonalidad por lo cual lo hace ser de una excelente calidad estética y una gran biocompatibilidad para imitar el aspecto natural del diente. Es el material de primera elección para el sector anterior (dientes de enfrente). Con este tipo de material se realizan las carillas.

Son extracciones en las que no se puede acceder con facilidad y es necesario hacer un incisión en el tejido que cubre al diente y proceder a la extracción realizando un técnica quirúrgica.
Déjanos un mensaje o visita nuestra clínica.

Redes sociales
Contacto
Teléfono:
7225209646
Dirección:
Av. 5 de Mayo 935 LT 4 Esq. Leonardo Rodríguez 55111, Toluca
Correo:
hello@gofer.com.mx
